Flower Mound Crowns and Bridges
Porcelain Crowns
Applied Procedures: Porcelain Crowns
P1485_ss639bs_t P1485_ss639ys_t
Before Photo After Photo
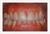
Applied Procedures: Porcelain Crowns
P1485_ss640bs_t P1485_ss640ys_t
Before Photo After Photo
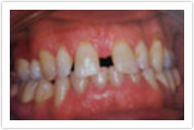
Applied Procedures: Porcelain Crowns, Dental Bridges
P1485_ss641bs_t P1485_ss641ys_t
Before Photo After Photo